
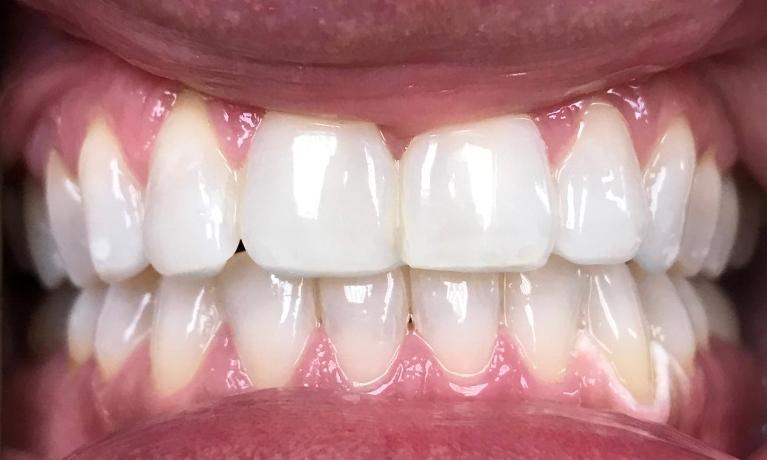
Teeth Whitening – West Caldwell, NJ
A Reliable Way to Brighten Your Smile
Our dental practice is proud to offer Zoom! in-office and take-home teeth whitening. The in-office procedure can whiten teeth by up to eight shades within an hour while our customized take-home kits can help you maintain and touch-up your results. We want to provide you with a cosmetic dental treatment that is fast, easy and comfortable, so call today to set up your consultation for professional-strength teeth whitening in West Caldwell from our skilled team at Magid Dental Care.
Why Choose Magid Dental Care for Teeth Whitening?
- In-House and At-Home Teeth Whitening Available
- Experienced Ivy League-Trained Dentist
- Financing Options Available
Who Is a Good Candidate for Teeth Whitening?

We typically recommend our professional Zoom! teeth whitening systems for patients who have teeth that are discolored or stained due to:
- Certain medications
- Genetics
- Aging
- Poor oral hygiene
- Consuming acidic and sugary foods too frequently
- Consuming pigmented foods and beverages too regularly
- Using tobacco products
If you have underlying oral health problems that are causing your dental discoloration, like poor oral hygiene habits or tooth decay, we may need to treat these before you can undergo teeth whitening. This is to ensure that your results last and your oral health doesn’t decline as a result of unaddressed issues.
How Does Teeth Whitening Work?

While you can probably find a selection of teeth whitening products on the shelves of your local grocery store or pharmacy, these methods often lead to lackluster results and possibly injuries due to poor manufacture or user error. Professional whitening from our office in West Caldwell, on the other hand, can reliably and safely deliver stunning results. This noninvasive and painless treatment can make it much easier to smile proudly in social or business settings, which makes it an excellent choice for virtually any patient.
Take-Home Teeth Whitening
Our take-home teeth whitening kits include customized dental trays and concentrated whitening gel. You’ll only need to apply the gel to the trays and wear them over your teeth for about an hour daily for about two weeks to achieve incredible results.
In-Office Teeth Whitening
Dr. Magid can also whiten your teeth in about an hour at his office. During this treatment, our dentist will place barriers in your mouth to protect your soft tissues, apply several coats of whitening agent to your teeth, and activate their effects with a special UV light. This is an especially excellent option for those anticipating a significant life or business event.
Tips for Maintaining Your Brighter Smile

It’s only natural that you would want to do what you can to preserve your results after teeth whitening treatment. A few excellent ways to keep your smile bright and shiny include:
- Practicing excellent oral hygiene.
- Minimizing your intake of foods and beverages that cause stains and discoloration.
- Refraining from smoking and excessive alcohol consumption.
- Enjoying plenty of white dairy products to give your enamel the protein, vitamins, and minerals it needs to stay healthy and strong.
- Visiting our office in West Caldwell every six months for regular checkups and cleanings.
- Receiving touch-up treatments at our office as necessary.
Understanding the Cost of Teeth Whitening

It’s perfectly reasonable to be curious about how much teeth whitening will cost even if you have your heart set on achieving a brighter smile. At Magid Dental Care, we’re eager to find the best way for all our patients to have smiles they can feel confident in. Here’s a brief guide to how teeth whitening treatment is priced at our West Caldwell office, but please contact our staff online if you have any questions.
Factors That Affect the Cost of Teeth Whitening
While teeth whitening treatments usually have one set price, some factors may make multiple sessions necessary to achieve the patient’s desired results. A few of these include:
- The severity of the stains and discoloration: Deeper and more extensive blemishes may require additional treatments.
- The cause of the discoloration: Staining caused by age or medication or located beneath the surface of the enamel is usually more difficult to lift.
- Preliminary procedures: You may need restorative work such as fillings, crowns, or gum disease treatments before you can receive teeth whitening. These will be noted on your bill, but they may receive some insurance coverage, depending on your plan.
Types of Teeth Whitening: What Do They Cost?
There are several types of teeth whitening treatments available, and they come at different price points. These include:
- In-office teeth whitening: Your dentist can lift your stains in about an hour for between $400 and $800, but the treatment can reach $1,000 in rare cases.
- Customized teeth whitening kits: These professional-grade take-home whitening treatments typically cost several hundred dollars.
- Store-bought whitening kits: These products usually cost $100 or less.
- Store-bought whitening strips and gels: These usually cost about $40 for a two-week supply.
Cheap Teeth Whitening vs. Professional Teeth Whitening
While store-bought whitening options may seem like the economical choice at first glance, you must remember that you can always expect to get what you pay for. Over-the-counter whitening products can leave users with lackluster results even after months of use, and they have even resulted in injuries due to poor manufacture or user error. Professional treatments from Dr. Magid, on the other hand, can reliably and safely lift stubborn stains in brief timeframes, which can make them a far more cost-effective option. Since our teeth whitening treatments deliver amazing results so quickly, they can be excellent for those looking forward to an important life event like a wedding, graduation, or job interview.
Options for Making Teeth Whitening Affordable
Since teeth whitening is a cosmetic procedure, it isn’t usually covered by dental insurance policies. However, we offer several ways to help patients make this amazing treatment more affordable, including:
- Flexible financing options: We partner with CareCredit to offer our patients payment plans that can break their bills into easily manageable monthly installments.
- Our in-house savings plan: For a low annual fee, you can receive your routine checkups and an emergency exam as well as significant discounts on other services we offer.
We’ll be more than happy to discuss your payment and financing options during your consultation at our West Caldwell office, so don’t be afraid to contact us with any questions.
Teeth Whitening FAQs
Does Teeth Whitening Hurt?
Most patients find teeth whitening to be a surprisingly comfortable and simple process, but it is possible to experience some sensitivity during or after your treatment. This sensitivity is usually pretty mild and short-lived, often resolving within a day or two. You do not have to worry about outright pain at all, and rest assured, our team will always take measures to ensure that your discomfort is as minimal as possible. If you already have sensitive teeth, let us know; we can adjust your treatment plan to keep you comfortable.
Am I a Good Candidate for Teeth Whitening?
Most people with healthy teeth and gums are good candidates for professional teeth whitening, but it may not be the right option for everyone. Ideal candidates are those who have surface stains or discoloration caused by foods, drinks, or even factors like aging. If you have gum disease, untreated cavities, or other dental issues, whitening may need to be postponed until those concerns can be addressed. Teeth whitening is also less effective on dental restorations like crowns or fillings, and it may not work in all cases of discoloration. During your consultation, our team will carefully evaluate your smile as well as discuss your smile goals with you to ensure you’re a great candidate for teeth whitening before moving forward with the treatment.
How Can I Ensure My Teeth Whitening Results Last?
To help your teeth whitening results last as long as possible, which could be several months or even a few years, it’s important to maintain good oral hygiene and make mindful lifestyle choices. Brushing twice daily, flossing each day, and visiting our office for routine checkups and cleanings will keep your smile bright and healthy, allowing you to truly make the most of your teeth whitening. Limiting foods and drinks that can stain, such as coffee, tea, red wine, and dark sauces, also helps preserve your results. If you do enjoy these beverages, try rinsing with water afterward to reduce the likelihood of staining. Avoiding tobacco products like cigarettes is also advisable. We may also recommend touch-up whitening treatments as needed to help you maintain your brightest smile.
How Long Does It Take to Whiten Teeth?
The time it takes to whiten teeth depends on the method used, as well as your individual goals. Professional in-office whitening, for example, can brighten your smile several shades and can also be completed in just one single, hour-long appointment. On the other hand, take-home whitening kits can typically whiten your smile in a similar manner in one to two weeks, while also allowing you to whiten on your own schedule. Some patients may require additional treatments for deeper stains or more dramatic results, but rest assured, our team will discuss your options with you and create a plan that fits your needs.