
Dental Smile Gallery – West Caldwell, NJ
View the Amazing Results Dr. Magid Can Achieve
If you’re visiting our dental practice, it’s likely because you want high-quality results that will stand the test of time. We strive for excellence in everything we do here at Magid Dental Care, and we believe it shows in our patients’ happiness with their results. We welcome you to view our dental smile gallery in West Caldwell below, which features our real-life dental patients who we helped restore and beautify their smiles. If you feel inspired to start your journey towards getting a grin you feel proud of, give us a call to schedule a consultation today.
Book Your Free Implant Consult Now
About Us Meet Dr. Magid Meet the Team Tour Our Office Dental Technology View Our Services
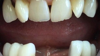
This is a Smile Makeover with Crowns and Dental Implants.
This patient was so moved by her new smile with All-On-4 dental implants. Life-changing surgeries like this make us feel so proud of the dental work we do. We feel lucky to be able to come to work and help change people's lives and take them out of pain each day.
A zoomed-in view of the before and after of Dr. Magid's recently completed full mouth restoration. Dental implants can be life-changing!
This is the first phase of a life-changing full-mouth transformation. Dental implants were placed on the upper arch and the patient went home with long-term temporary teeth. Once healing is complete, the final beautiful teeth will be placed.
Phase 1 of this dental implant All On 4 full mouth reconstruction has been completed. This patient was thrilled to walk out with new teeth the SAME DAY!